「今は大丈夫」の繰り返しが、将来の負担に。
歯は毎日使い続けるもの。小さなうちに整えることが、家族みんなの安心につながります。
複雑なケースも、グループ全体でしっかり支えます。 家族で通えて、最後まで任せられる。そんな医院でありたいと思っています。
今から。
「今は大丈夫」の繰り返しが、将来の負担に。歯は毎日使い続けるもの。小さなうちに整えることが、家族みんなの安心につながります。 複雑なケースも、グループ全体でしっかり支えます。 家族で通えて、最後まで任せられる。そんな医院でありたいと思っています。
01 Treatment Philosophy
なぜ、繰り返さない治療が必要なのか。
歯のトラブルは、偶然起きるものではありません。
噛み合わせ、歯ならび、生活習慣、そしてこれまでの治療の積み重ね。
目の前の痛みだけを取り除いても原因がそのままなら、また同じ場所に負担がかかります。
私たちは、症状だけを見るのではなく「構造」を診ます。
いま起きている問題と、これから起こりうるリスク。
その両方を整理した上で、治療を組み立てます。

02 For Your Family
家族で通える総合歯科であること。
虫歯や歯周病の治療、予防ケア、お子さまの歯並び相談。日常のケアを大切にしながら、必要なときには専門治療へ。
インプラントや矯正などの治療も場当たり的に選ぶのではなく「長く持つ設計」として提案します。
姶良市中心部で通いやすく、相談しやすい存在でありながら、
難しいケースにも対応できる体制を整えています。
03 Advanced Care
もし、難しいと言われたら。
他院で難しいと判断された症例や、複雑な噛み合わせの問題。
当院では専門体制と連携しながら、診断から設計まで一貫して対応します。
「高度」を誇るのではなく「必要な治療を、必要な形で」。
それが、持続する歯科治療の条件だと考えています。
04 Beyond Treatment
治療の先にあるもの。
治療が終わることがゴールではありません。
食事が楽しめること。人前で自然に笑えること。
痛みを気にせず過ごせること。
その状態が、長く続くこと。
私たちは、その時間を設計します。
Search by Concern
今困っているお悩みは何ですか?
もし他の歯医者で難しいと診断されたら…
骨が少ない。複数歯を失っている。過去治療がうまくいかなかった。
そのようなケースもご相談ください。地域のかかりつけ医でありながら、必要な場合は高度治療まで一貫して対応できる体制を整えています。

総合1:ご家族総合
小さなお子様のむし歯治療や予防に始まって、学生さん社会人の皆さまの治療・審美、ご高齢の方の歯の欠損まで、総合的にケアいたします。

総合2:総合的治療
咬合全体のバランスやかみ合わせを考慮して、虫歯のかぶせ物、ブリッジ、入れ歯、インプラント、矯正治療など様々な治療法をご提案します。

総合3:お身体総合
歯の健康という視点にとどまらず、呼吸、摂食、嚥下、会話など、お口全体の機能と全身への影響までトータルで考えた歯科の治療と予防を目指します。
Case/Voice
症例紹介
患者様の声

当院では、小さなお子さまからご高齢の方、他院で断られた難症例の方へのインプラント治療実績などさまざまなお悩みを抱えた患者さまが来院されます。
自然で美しい仕上がりはもちろん、「安心して相談できるカウンセリング体制」や「骨や歯ぐきの変化にも対応できる治療」を整えており「”ただ歯を入れる”だけでなく、その人らしい笑顔を取り戻すこと」そのための治療を、私たちは目指しています。
患者さまの声をお聞かせください
当院では、患者さまからのご意見を医院づくりに活かしています。
診療について感じられたことがありましたら、
Googleの口コミでご感想をお寄せいただけますと幸いです。
DOCTER
ドクターからのご挨拶
なぜ、総合歯科であることにこだわるのか。
歯は一本だけで機能しているわけではありません。噛み合わせ、骨の状態、全身の健康、そしてその方の人生設計まで——すべてが関係しています。
私は「その場限りの治療」ではなく、人生単位でお口を支える歯科医療を大切にしたいと考えています。
だからこそ当院では、一般歯科からインプラント・矯正まで、一貫して診られる体制を整えています。日常の虫歯治療も、将来を見据えた選択も、どちらも同じくらい重要です。
安心して通える場所でありながら、いざというときも任せられる歯科医院であること、それが私たちの目指す姿です。
医療法人翔優会 理事長 吉留英俊

Price
費用とお支払い
歯科治療には公的医療保険制度が適用される「保険診療」と、保険適用外の「自由診療(自費診療)」があります。
当院では、一般的な歯科医院と同様、保険診療を行っていますが、高い審美性や精度、予後を求める場合や矯正・インプラント等の治療は自由診療(自費診療)となります。患者さまに最適な治療をご提案しますのでお気軽にご相談ください。
WEB予約受付中 / 24時間365日
初診の方のご予約はこちら
ワハハ総合デンタル姶良イオンクリニック
現在の歯を残したい・悪くしたくないあなたへ

歯を残す為の検診歯を残す為の検診-顕微鏡検査-
特殊な顕微鏡を使い、虫歯、歯周病のリスクを、悪くなる前にチェックすることができるようになりました。歯周病・口臭が気になる方へおすすめの検査です。

歯科用CT【3D(3次元)レントゲン】
今までの2次元画像では診断しにくかった症状が、3次元(立体)画像で正確に患部をとらえ原因究明ができるようになります。
歯周病のより厳密な診断もできます。

口腔内除菌ペリオフロー
「ペリオフロー」は、今までの器具では届かない歯周ポケットおよび歯肉の溝のバイオフィルム(細菌の巣)を効果的に除去することができるので、歯周病の再発防止や予防に最適です。

世界基準の滅菌設備-超滅菌主義-
世界で最も厳しいといわれるヨーロッパ基準・クラスBの滅菌器を導入。歯を切削する器具の内部に付着した体液の洗浄と滅菌や、一般検査器具類の滅菌など、安心安全の消毒滅菌設備です。

歯科医院が苦手な人への配慮
削る量を最小限にし、音や痛みに配慮したやさしい歯科治療を行います。
invisalign
マウスピースを使った矯正治療

矯正治療は長期間におよぶため、矯正装置が目立つことがストレスとなる患者さまも少なくありません。当院では、透明なマウスピース型装置を使った目立たない矯正治療を行なっております。(症状によってはご提案できない場合もございます)口腔内カメラを使って歯型採取その場で診断・シミュレーションが可能です。
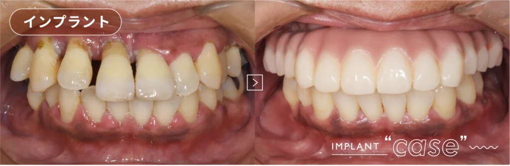
IMPLANT
インプラント治療

インプラント治療は歯を失う前と同様に何でも噛めるようになりまた、見た目も自分の歯と同じように仕上がります。当院ではいろいろなプランをご用意しています。他院で無理といわれた場合でも、特殊なテクニックによりインプラントが出来る場合もありますので、お気軽にご相談ください。
お子さま連れの方も安心して受診いただけます
小児歯科・小児矯正歯科

お子さまが歯医者を嫌いにならないよう、お子さまの気持ちに配慮した歯科治療・予防を提供します。また将来、むし歯になりにくいお口の環境を作るため、お子さま一人ひとりに合わせた予防プランをご用意します。
また小児矯正では、お子さまの成長に合わせて治療を開始することで、お子さまのあごの成長を利用し、永久歯がキレイに生えそろうよう導いていくことが可能です。
ワハハ総合デンタル姶良イオンクリニックは、「矯正治療と小児歯科のフロア」をオープンしました。
落ち着いた雰囲気の成人矯正専用の半個室、楽しい工夫がいっぱいのお子さまエリア。今までの診療室では、一般診療とインプラント。
おとなもこどもも、親子でも。家族みんなでお越し頂ける歯科医院になりました。

歯医者さんは
人生のサポーターです。
歯とお口の健康は、皆さまの人生と密接に関わっています。食べること。喋ること。笑うこと。人と会うこと。家族と暮らしたり、一緒に働いたり勉強したりする場面で、歯がきれいで健康であることは安心にも自信にも繋がるものです。
痛い、ぐらぐらする、見た目が気になる、よく噛めない。それだけでどれほど一日がユウウツになってしまうかは、誰でも経験がおありでしょう。でもほとんどの方は、お仕事や日常を優先して歯のことは後回しにしてしまいがちです。
なんでも相談できる歯医者さんが、そばにあると助かると思いませんか?
痛くなくても、気になるだけでも大丈夫です。歯とお口のお悩みは、お一人で悩んでいても時間が過ぎていくばかり。専門家じゃないとなかなか解決しないし、逆にご相談いただければすぐに解決する方法があるかもしれません。
ワハハ総合デンタル姶良イオンクリニックは皆さまの人生のサポーターです。小さいお子さまのお口から、ご高齢の方のかみ合わせまで、ちょっとでもあなたの「気になる」があれば、いつでもお越しください。
お一人で悩まず、お気軽にご相談ください。
むし歯・歯周病・入れ歯・ブリッジ・インプラント・小児のむし歯予防・成人のむし歯予防・小児矯正・成人矯正・かみ合わせの異常・お口のニオイ・歯の汚れ・黄ばみ・食べ物の咀嚼・飲み込み(嚥下)・ご高齢者の訪問診療 など
WEB予約受付中 / 24時間365日
初診の方のご予約はこちら
ワハハ総合デンタル姶良イオンクリニック





